Periodoncia

LA PERIODONCIA AFECTA A LA ENCÍA Y EL HUESO

Pide cita












    IMG 4040

    El tratamiento se centrará en dos aspectos:

    Es importante empezar a cuidar los dientes desde pequeños para prevenir problemas futuros y adquirir buenos hábitos en el cuidado de los dientes.
    - Generar hábitos

    Tratamientos periodontales

    Cirugía estética periodontal

    separador dientes

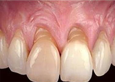
    Recesiones gingivales
    La encía puede retraerse o encogerse por diversos motivos: un cepillado demasiado fuerte, sarro acumulado durante demasiado tiempo, una encía demasiado sensible…

    recesion gingival 600x300@2x.antes recesion gingival 600x300@2x.despues

    Una vez la encía deja al descubierto una parte de la raíz es muy difícil que vuelva a recuperar su posición original salvo que recurramos a la cirugía estética periodontal.

    Recesiones gingivales antesRecesiones gingivales despues

    El cirujano utilizará un injerto de tu propia encía que suturará en la zona donde tienes la recesión, y tras un proceso de cicatrización en el que deberás ser más exigente que nunca con la higiene diaria, recuperarás la encía perdida, y desaparecerá la percepción de que el diente es más largo de lo habitual.

    ESPECIALISTAS EN
    PERIODONCIA EN SEVILLA